

Periodontitis is a silent but serious infection of the gums. It is caused by accumulation of bacterial on the teeth and gums over a long period of time. It starts with inflammation of the gums (gingivitis) which is reversible with timely conservative treatment. If left unattended, it will progress to destructive infection which causes irreversible damage to the bone and gums (recession), which is the supporting structure of the teeth. Periodontitis may lead to mobile teeth and tooth loss, which will affect aesthetics and chewing efficiency.
80% of adults displayed signs of gum disease of varying severity, according to a large scale oral health survey in 2003 conducted by Health Promotion Board, Singapore.

Gingivitis
Gingivitis is the mildest form of gum disease and is fully reversible. It is due to accumulation of plaque (soft yellowish debris) around the gum line that causes the gums to be irritated and become swollen and red. There is usually no pain at this stage and no recession of gums yet. Gingivitis can be easily treated and reversed with professional treatment and good home oral hygiene.

Mild Periodontitis
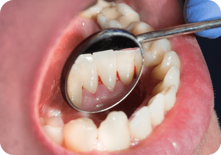
When gingivitis is left untreated, the gums start to detach away from teeth and develop small pockets. The plaque, tartar and bacteria start to accumulate in these pockets and cause recession of the gums. You will begin to lose some bone around the teeth.

Moderate Periodontitis
As gum disease is left to progress, there will be more bleeding and swelling of the gums. The bacteria and plaque continue to invade further and deeper pockets develop. There will be even more bone loss around the teeth and the teeth will become loose.

Severe Periodontitis
At the advanced stage, the bacteria continue to go deeper into the pockets and cause severe destruction of the bone and recession of gums. The teeth usually become shaky and start to shift position, forming gaps between the teeth. You may experience gums pain and sensitivity, as well as severe bad breath and foul taste in the mouth. There may be gum boils (abscesses) and pus around the gum line. Tooth loss would have happened at this stage.



















